In last month’s blog post, “
Systems for Success,” I noted that there are more than 300 systems or procedures (excluding clinical) in any dental office that when properly designed, implemented and rehearsed serve as the blueprint to success. In fact, after reviewing hundreds of dental offices, including my own, I have found that well thought-out systems and protocols are at the core of highly trained teams who deliver excellent dental care, supported by superb customer service.
Intuitively, this makes sense. As dentists, we were taught clinical procedures in a step-by-step fashion. For most of us, it goes something like this: seat the patient; ask if there is any change in the patient’s health history; take the patient’s blood pressure and heart rate; place topical anesthetic; deliver local anesthetic; use the No. 557 bur; remove decay; place matrix, wedge, etch, primer and adhesive; use a light cure, etc. You get the point. When delivering dental treatment, we progress in a logical and systematic way that yields excellent outcomes most of the time. What about the nonclinical side of dentistry, though?
Analogous to the systematic manner in which we provide clinical dentistry, every dental business should possess step-by-step protocols how to answer phones, provide financial options, present recommended treatment, collect monies, schedule patients, address medical emergencies, transfer patients from one employee to another (handoffs), ask for referrals and many, many more. In other words, dental professionals follow each business’s individual recipes, committed to writing, that when combined lead to predictable and meaningful outcomes — the seamless and impeccable kind of outcomes that patients rave about.
New patients are the lifeblood of the dental practiceIn this blog post, we will look at one of the most powerful marketing systems in the world, a form of internal marketing that begins by learning to ask for referrals. Asking for referrals is a recruitment method for acquiring new patients that invites your existing patients to refer colleagues, family and friends to your business. Sound simple? It should be. However, it is one of the most overlooked marketing strategies in the dental business, with less than 10 percent of dental offices employing this technique regularly. Why? Various surveys and my own experience reveal that most dentists and dental teams assume their patients will automatically share good words about them, and they simply don’t think to ask. Others report they don’t believe it is important enough or they are embarrassed to ask. Some believe they don’t need new patients. This simply does not make sense.
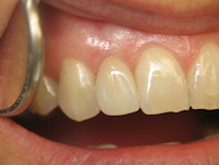
As many of us know, new patients are the lifeblood of any dental practice. Why? Because of attrition, or the normal loss of patients associated with moving, relocating, loss or change in insurance, unemployment, divorce, death and numerous other causes. In fact, the median attrition rate for solo practitioners in the United States is 3 to 5 percent annually. For example, if a dental business has 2,000 active patients, defined as anyone who has been in for treatment within the past 18 months, then they can anticipate losing 60 to 100 patients per year due to normal attrition. As a result, it is important to offset this loss of patients by adding new patients to replace them and help the practice grow. In the ideal situation, the astute businessperson realizes that by adding quality patients, or what I refer to as “A/B” patients (who arrive on time, pay their bills, appreciate you and your team, are not insurance-driven, etc.), they can predictably grow a patient base that appreciates and values excellent clinical dentistry and five-star customer service — a means to a recession-proof dental business, not a company dependent upon external marketing campaigns whose precursor is to attract price shoppers looking for the free prophy, $300 dentures or $400 crowns. Value-added patients create tremendous goodwill and substantial profits so when it comes time to sell your practice, you reap the rewards of hard work. In a March 1, 2017,
The Daily Grind blog post, “
The Profitability Factor in Selling a Practice,” blogger Andy Alas, DDS, was kind enough to share his own experience regarding potentially selling his practice. Thank you, Dr. Alas.
In his national best-seller, “Influence: The Psychology of Persuasion,” Robert B. Cialdini, Ph.D., outlines the six laws of persuasion and explains the psychology of why people say “yes.” Dr. Cialdini is the originating expert in the rapidly expanding field of influence and persuasion, whose teachings are circulated worldwide. Two of the laws, the law of reciprocation and the law of liking support, address “asking for referrals,” noting that people buy from people who are similar to them and from people they like. We have all heard the adage “birds of a feather flock together.” This proverb dates back to the 16th century and can be interpreted as people who have similar interests and characteristics or who like to socialize together.
Recently, the Levin Group reported its results of a survey of dentists. It revealed that 88.3 percent of respondents stated that “referrals from current patients are the most successful marketing method.”
Our findings and data are very similar. This form of internal marketing ranks at the top of marketing strategies and delivers the most predictable results.
“Birds of a feather flock together”In 2015, a worldwide study (in more than 100 countries spanning five continents) by The Nielsen Company. looked at consumers’ trust levels and how they relate to purchasing services and products. The results were unanimous. Family, friends and colleagues are the most trusted source of referrals in the world. It doesn’t matter what the product or service is. It is a universal finding.
In summary, asking for referrals is the most powerful and unequivocal manner in which to grow a successful and prosperous dental business. The chances of your most esteemed patients having friends like them are very high. These are the patients for whom you and your team should target your request. Begin today by asking your team to develop a script, or what I prefer to think of as learned verbal skills on how, when and whom to ask for referrals. Some key points to include:
- Only asking patients who are ideal and represent the value you and your team deserve.
- Asking your team to take action and develop a few key phrases that can be used when asking for referrals.
- Looking for opportunities keying on patient compliments.
- Soliciting comments. Upon checkout, have your front desk personnel ask patients about their visit. If the response is excellent, ask for a referral. If the response is poor, address the patient’s concern and attempt to resolve the issue before the he or she leaves the office and reviews your business on social media.
Why do less than 10 percent of dental offices routinely ask for patient referrals? I am not sure. However, for those that do, congratulations. The best part about asking for referrals is that it is free — and it delivers the most predictable results.

Duke Aldridge, DDS, MBA, MAGD, DICOI, MICOI, FMISCH